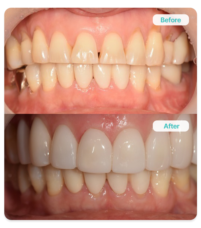
이제 라미네이트 말고
비앙쉬 하세요
치아 삭제 없이, 얇은 세라믹 보철물을 부착하여
자연스러운 미소를 되찾고자 하는 분들에게
특히 매력적인 선택입니다.
치아는 지키고, 아름다움은 더합니다.
무삭제로 가까워지는 자연스러움
건강한 미소를 찾을 수 있는
평생 치아 건강을 함께하는 치과
첨단 장비와 독립된 프라이빗한 공간에서
1:1 맞춤 진료 받으세요
당신의 치아를 사랑하는 빛나는 미소
서울제이에스치과

대학 병원 교수 출신
분과 별 전문의 협진 시스템
대학 병원 교수 역임 의료진 및 보건 복지부 인증 전문의의
one-stop & full-care 협진 시스템으로
구현하는 고품격 전문 진료
건강한 미소를 찾을 수 있는
평생 치아 건강을 함께하는 치과
첨단 장비와 독립된 프라이빗한 공간에서 1:1 맞춤 진료 받으세요

대학병원 교수출신
분과별 전문의 협진 시스템
대학병원 교수 역임 의료진 및 보건복지부 인증 전문의의
one-stop & full-care 협진시스템으로 구현하는 고품격 전문 진료
당신의 치아를 사랑하는 빛나는 미소 서울제이에스치과
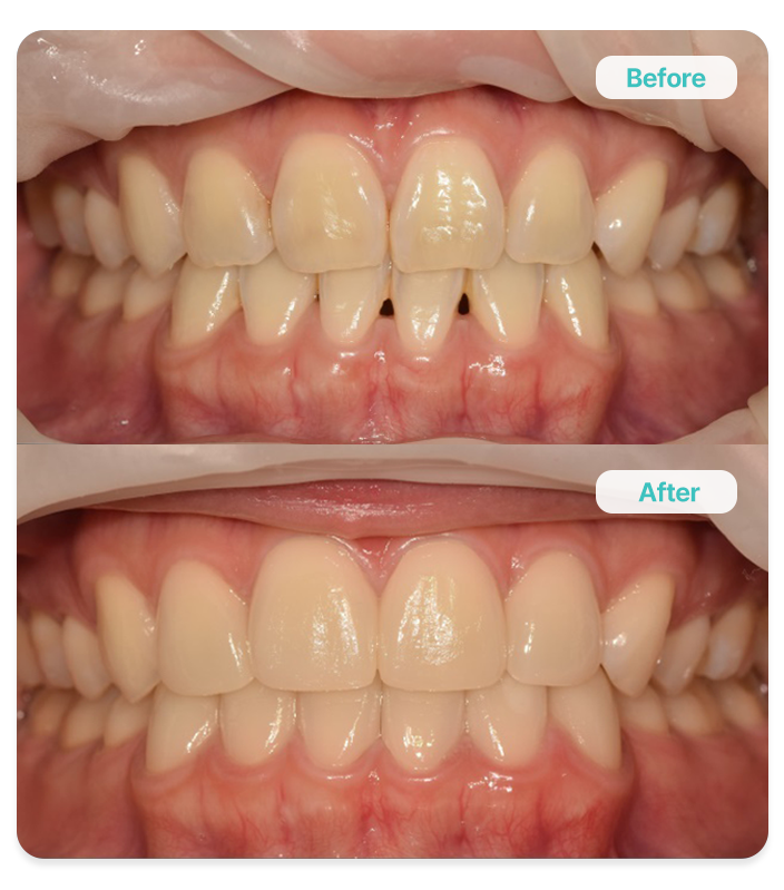
이제 라미네이트 말고
비앙쉬 하세요
치아 삭제 없이, 얇은 세라믹 보철물을 부착하여
자연스러운 미소를 되찾고자 하는 분들에게
특히 매력적인 선택입니다.
치아는 지키고, 아름다움은 더합니다.
무삭제로 가까워지는 자연스러움
언제나 웃음을 되찾아주는 든든한
서울제이에스 치과
위생, 안전 그리고 환자의
프라이버시는 중요합니다.
쾌적하고 프라이빗한 공간에서 편안히
시술 받으실 수 있도록 준비합니다.
체계화된 멸균 소독 시스템
서울제이에스치과는 대한 치과 의사 협회 지침에 의거한 치과 기구의 소독 규정을 준수하고 자체 감염 위원회를 구성하여 11단계의 멸균 소독 시스템을 운영하고 있습니다.
대학병원급 정밀 진단 장비
서울제이에스치과는 첨단 장비를 통해
환자 분들의 정확한 치아상태를 파악하여 구체적이고 과학적인 치료 계획을 수립합니다.
이제 라미네이트 말고 비앙쉬 하세요
치아 삭제 없이, 얇은 세라믹 보철물을 부착하여
자연스러운 미소를 되찾고자 하는 분들에게 특히 매력적인 선택입니다.
치아는 지키고, 아름다움은 더합니다.
무삭제로 가까워지는 자연스러움
오래도록 빛나는 미소를 위해,
JS는 꾸준히 당신 곁을 지킵니다
임플란트 식립 개수
10,014 개
진행 중인 교정 환자 및 완료 케이스
5,000 여건
스마일 라미네이트
2,300 여건
고객 만족도
99 %
서울제이에스치과의 기술력,
지금 바로 확인해보세요
01 동안비앙쉬(38세)
02 동안비앙쉬(82세)
03 나도연예인비앙쉬(48세)
04 원데이비앙쉬(72세)
한분 한분을 위한 프라이빗 룸 위생, 안전 그리고 환자의 프라이버시는 중요합니다. 쾌적하고 프라이빗한 공간에서 편안히 시술 받으실 수 있도록 준비합니다. | ![]() |
체계화된 멸균 소독 시스템 서울제이에스치과는 대한 치과 의사 협회 지침에 의거한 치과 기구의 소독 규정을 준수하고 자체 감염 위원회를 구성하여 11단계의 멸균 소독 시스템을 운영하고 있습니다. | ![]() |
대학병원급 정밀 진단 장비 서울제이에스치과는 첨단 장비를 통해 환자 분들의 정확한 치아상태를 파악하여 구체적이고 과학적인 치료 계획을 수립합니다. | ![]() |
언제나 웃음을 되찾아주는 든든한
서울제이에스치과
오래도록 빛나는 미소를 위해,
JS는 꾸준히 당신 곁을 지킵니다
0 개
0 여건
0 여건
0 %
서울제이에스치과의 기술력,
지금 바로 확인해보세요
01 동안 비앙쉬 (38세)
01 동안 비앙쉬 (38세)
02 동안 비앙쉬 (82세)
02 동안 비앙쉬 (82세)
오시는길
서울특별시 서초구 반포대로 58 서초아트자이 2층
대표전화
02-583-2807
진료시간
| 월 · 화 · 수 · 목 | 10:00 ~18:00 |
| 금요일 | 10:00 ~21:00 야간진료 |
| 토 · 일요일 | 10:00 ~ 16:00 |
오시는 길
서울특별시 서초구 반포대로 58 서초아트자이 2층
대표전화
진료시간
| 월 · 화 · 수 · 목 | 10:00 ~ 18:00 | |
| 금요일 | 10:00 ~ 21:00 야간진료 | |
| 토 · 일요일 | 10:00 ~ 16:00 |