임플란트

바쁜 일상 속, 새로운 치아를 찾는 눈부신 미소



3D 진단을 바탕으로 개인별 뼈 · 잇몸 · 교합 상태를 

평가하여 가장 적합한 임플란트 계획을 수립합니다.


CBCT 기반 플래닝과 서지컬 가이드를 통해 안정성을 지향하며, 회복부터 위생 관리, 정기 점검까지 일관된 관리를 제공합니다.

3D 진단을 바탕으로 개인별 뼈 · 잇몸 · 교합 상태를 평가하여 가장 적합한 임플란트 계획을 수립합니다.
CBCT 기반 플래닝과 서지컬 가이드를 통해 안정성을 지향하며, 회복부터 위생 관리, 정기 점검까지 일관된 관리를 제공합니다.

이런 분들에게

적합할 수 있습니다.

앞니 사이 공간의 벌어짐을 자연스럽게 메워줍니다.


변색 되거나 착색된 치아를 밝고 깨끗하게 만들어드립니다.


마모로 인해 짧아보이는 치아의 길이를 복원합니다.


작은 파절이나 좌우 비대칭을 균형있게 조정합니다.

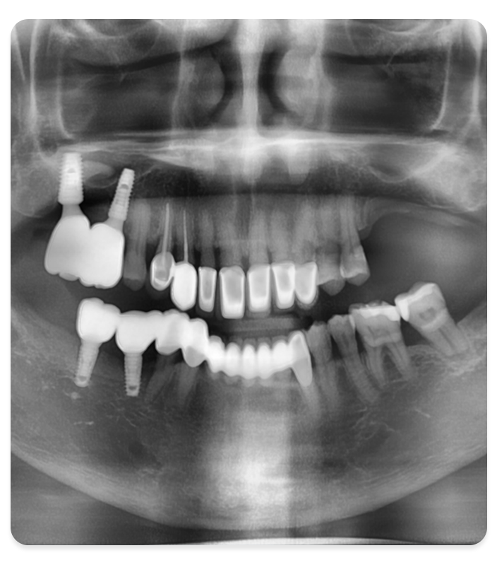
서울제이에스치과 임플란트

3D 진단을 바탕으로 개인별 뼈·잇몸·교합 상태를 평가해 맞춤 계획을 수립합니다.


CBCT 기반 플래닝, 서지컬 가이드, 토크 관리로 안정성 지향

회복·위생·정기 점검까지 일관 관리

서울제이에스치과 임플란트

3D 진단을 바탕으로 개인별 뼈·잇몸·교합 상태를 

평가해 맞춤 계획을 수립합니다.


CBCT 기반 플래닝, 서지컬 가이드, 토크 관리로 

안정성 지향, 회복·위생·정기 점검까지 일관 관리

mobile background

One-Day Implant

원데이 임플란트


발치와 동시 식립이 가능한 경우, 당일에 임시치아까지

 장착하여 치료 과정의 효율성을 고려한 

임플란트 식립 방법입니다.



   당일 발치 및 식립


   즉시 임시치아


 회복 기간 단축



mobile background

Insurance-Covered Implants

보험 임플란트


만 65세 이상 환자를 대상으로 건강보험 기준 충족 시 
평생 2개까지 급여 적용이 가능한 임플란트 치료입니다. 



   국민건강보험 적용


   본인부담금 절약


  평생 2개 혜택



mobile background

Sinus Lift with Implant Placement 

상악동 거상 임플란트


위턱뼈의 상악동 공간이 좁아 임플란트를 심을 뼈가 부족할 때,
상악동을 들어 올리고 그 빈 공간에 뼈를 이식하여 임플란트 

식립 공간을 만드는 수술입니다.



   골량 부족 해결


   상악동 거상술


  안전한 식립



mobile background

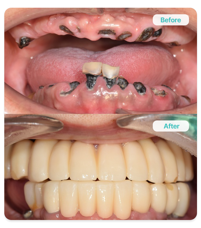
Full-Mouth Dental Implants

전악 임플란트


다수의 치아를 상실했을 때 임시 보철을 사용하여 발음 및

 저작 기능을 미리 평가하고, 최종 보철물을 수복하여 

구강 기능 회복을 위한 과정을 진행하는 치료입니다.



   전체 치아 대체


   All-on-4/6  


  잃어버린 구강 기능 회복



mobile background

Flapless Implant Surgery

무절개 임플란트


잇몸을 열지 않고 작은 구멍을 통해 임플란트를 식립하는 

방법으로, 잇몸 절개 방식에 비해 통증, 붓기, 출혈이 적고 

회복이 빠르다는 장점이 있습니다.
(적용 조건 확인 필요)



  절개 없는 수술


   빠른 회복


  통증 최소화



mobile background

Implant-Supported Denture

틀니 지지 임플란트


소수의 임플란트를 식립하여 기존 틀니의 안정성을 높이고,
저작 효율 개선을 돕는 방식으로 틀니 고정력을 

보완하는 치료입니다. 



   소수식립


   고정력 향상


  경제적인 비용으로 치료 가능



mobile background
진료순서

체계적이고 투명한 진료

보답하겠습니다.


01

3D 진단·치주 평가


CBCT 촬영 및 잇몸 상태 정밀 검사

02

수술 계획·가이드 제작


디지털 플래닝 및 서지컬 가이드 제작 

03

임플란트 식립


정밀한 각도와 깊이로 안전한 식립

04

골유착 대기


3-6개월간 임플란트와 뼈의 결합 대기

05

맞춤 보철 장착


개인 맞춤 크라운 제작 및 장착

06

정기검진 · 위생관리


지속적인 관리로 임플란트 수명 연장

주의사항    흡연, 전신 질환, 잇몸 염증은 시술 계획에 영향을 줄 수 있습니다.

FAQ

정기검진·전용 위생관리·나사 점검이 중요합니다.

국소마취로 진행하며 표준 통증·부기 관리 지침을 제공합니다.

일정 조건 시 평생 2개 적용, 내원 시 상세 안내드립니다.

 뼈 형태·잇몸 두께에 따라 달라집니다.

감염·골질·교합 조건이 적합할 때 가능합니다.

3D 진단 상담으로 내 상태에 맞는 임플란트 계획을 받아보세요
 가능 범위와 예상 일정을 자세히 안내드립니다. 

오시는길

서울특별시 서초구 반포대로 58 서초아트자이 2층

대표전화

02-583-2807


진료시간

월 · 화 · 수 · 목
10:00 ~18:00
금요일
10:00 ~21:00  야간진료 
토 · 일요일
10:00 ~ 16:00

오시는 길

서울특별시 서초구 반포대로 58 서초아트자이 2층

대표전화

02-583-2807

진료시간


월 · 화 · 수 · 목
10:00 ~ 18:00

금요일
10:00 ~ 21:00 야간진료 

토 · 일요일
10:00 ~ 16:00


대표 박공주     사업자등록번호 144-13-02555     주소 서울특별시 서초구 반포대로 58, 상가222-229호(서초동, 서초아트자이)

E-mail wowcuty77@naver.com     문의 02-583-2807


@2025 서울제이에스치과. All rights reserved.

관리자페이지 +

site by.crebox