자연스러운 광택과 투명감을 통해 젊고 활기찬
인상의 스마일 라인을 찾아드립니다.
서울제이에스치과는 자연치아를 최대한 보존하는 것을
목표로, 치아 삭제를 최소화하며 경우에 따라
0.2mm두께의 비앙쉬를 활용한 무삭제 시술을 지향합니다.
이런 분들에게
적합할 수 있습니다.
앞니 사이 공간의 벌어짐을 자연스럽게 메워줍니다.
변색 되거나 착색된 치아를 밝고 깨끗하게 만들어드립니다.
마모로 인해 짧아 보이는 치아의 길이를 복원합니다.
작은 파절이나 좌우 비대칭을 균형있게 조정합니다.
서울제이에스치과 비앙쉬
최소 삭제를 지향하며 얼굴형과 입술선의 조화를
생각하는 스마일 디자인을 제공합니다.
색조와 투명감을 정밀하게 맞춤 셰이드 매칭을 통해
자연스러운 결과를 지향합니다.
임지 라미네이트 장착 후 환자 피드백을 받아
최종 결과에 반영합니다.
서울제이에스치과 비앙쉬
최소 삭제를 지향하며 얼굴형과 입술선의 조화를 생각하는 스마일 디자인을 제공합니다.
색조와 투명감을 정밀하게 맞춤 셰이드 매칭을 통해 자연스러운 결과를 지향합니다.
임시 라미네이트 장착 후 환자 피드백을 받아 최종 결과에 반영합니다.
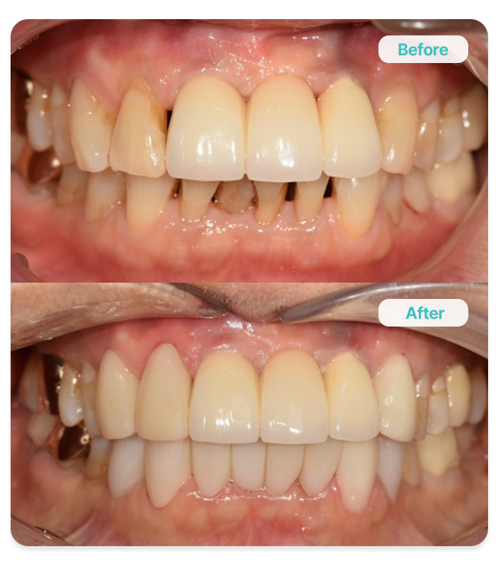
동안비앙쉬 38세
동안비앙쉬 82세
동안비앙쉬 37세
동안비앙쉬 42세
동안비앙쉬 51세
동안비앙쉬 51세
동안비앙쉬 52세
동안비앙쉬 67세
이미지를 옆으로 넘겨보세요
시간이 지남에 따라 치아는 색이 변하거나 마모되어
마치 치아의 주름살처럼 보여져,
전체적인 인상이 나이 들어 보이거나 지쳐 보일 수 있습니다.
'동안비앙쉬'는 이러한 심미적인 부분을 개선하여,
한층 젊고 생기 있는 인상의 미소를 찾아 드리는 데
도움을 드리는 심미 치료입니다.
치아의 색상, 형태, 길이 등을 개선하여 젊고 활기찬 인상의 건강한 미소를 찾아드립니다.
개인의 얼굴 윤곽과 조화를 이루는 미소 라인을 찾아, 긍정적인 이미지를 선사하도록 돕습니다.
자연스럽고 아름다운 치아를 통해 전반적인 심미적 만족도를 높이는 데 기여합니다.
Young Face Bianche
동안비앙쉬
시간이 지남에 따라 치아는 색이 변하거나 마모되어
마치 치아의 주름살처럼 보여져,
전체적인 인상이 나이 들어 보이거나 지쳐 보일 수 있습니다.
'동안비앙쉬'는 이러한 심미적인 부분을 개선하여,
한층 젊고 생기 있는 인상의 미소를 찾아 드리는데
도움을 드리는 심미 치료입니다.
치아의 색상, 형태, 길이 등을 개선하여 젊고
활기찬 인상의 건강한 미소를 찾아드립니다.
개인의 얼굴 윤곽과 조화를 이루는 미소 라인을 찾아,
긍정적인 이미지를 선사하도록 돕습니다.
자연스럽고 아름다운 치아를 통해 전반적인 심미적
만족도를 높이는데 기여합니다.
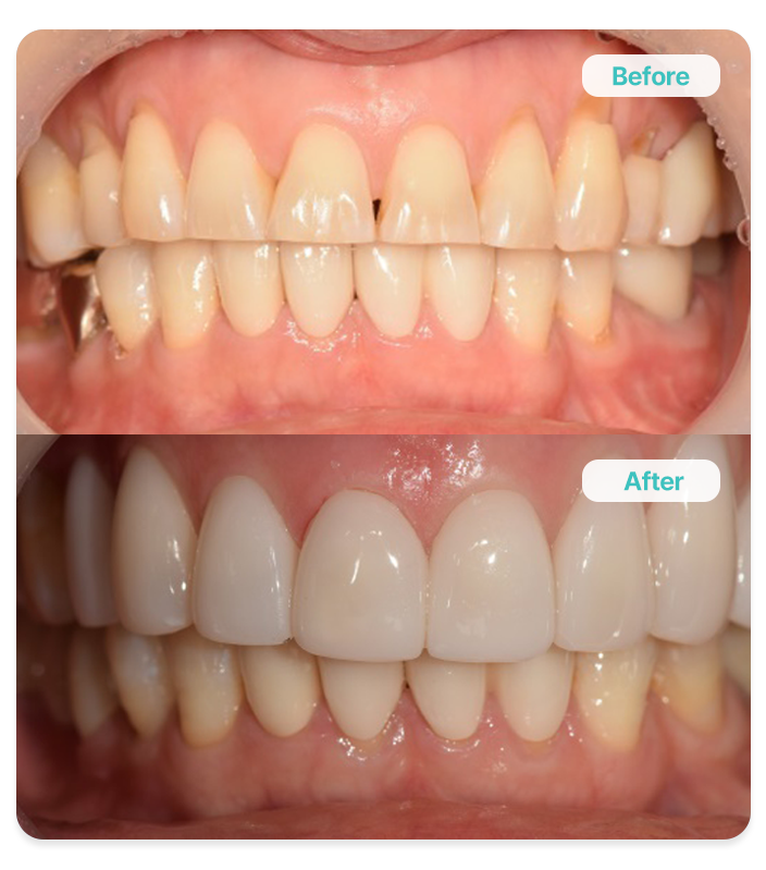
연예인 비앙쉬 48세
연예인 비앙쉬 28세
연예인 비앙쉬 35세
이미지를 옆으로 넘겨보세요
많은 분들이 선호하는 밝고 자연스러운 미소는 자신감 형성에 중요한 역할을 합니다.
'나도 연예인비앙쉬'는 치아의 심미적인 요소들을 세심하게 개선하여,
매력적인 미소를 찾아드리는 맞춤형 심미 치료입니다.
개개인의 얼굴과 조화로운 치아 형태, 색상, 배열을 디자인하여 자연스러운 미소를 찾습니다.
변색되거나 불만족스러운 모양의 치아, 치아 사이의 틈 등 다양한 심미 문제 개선을 돕습니다.
개선된 미소를 통해 일상생활과 대인관계에서 자신감 있는 인상을 선사하는 데 기여합니다.
Celebrity Bianche
나도 연예인 비앙쉬
많은 분들이 선호하는 밝고 자연스러운 미소는
자연스러운 미소는 자신감을 형성에 중요한 역할을 합니다.
'나도 연예인 비앙쉬'는 치아의 심미적인 요소들을
섬세하게 개선하여, 매력적인 미소를 찾아드리는
맞춤형 심미 치료입니다.
개개인의 얼굴과 조화로운 치아 형태,색상, 배열을
디자인하여 자연스러운 미소를 찾습니다.
변색되거나 불만족스러운 모양의 치아,
치아 사이의 틈 등 다양한 심미 문제 개선을 돕습니다.
개선된 미소를 통해 일상생활과 대인관계에서
자신감 있는 인상을 선사하는데 기여합니다.
원데이 비앙쉬 72세
원데이 비앙쉬 46세
원데이 비앙쉬 49세
원데이 비앙쉬 46세
이미지를 옆으로 넘겨보세요
바쁜 현대인의 스케줄 속에서 치과 치료에 시간을 할애하는 것이 부담스러울 수 있습니다. '원데이 비앙쉬'는 진단부터 비앙쉬 제작 및 부착까지의 모든 과정을
하루 안에 마칠 수 있도록 설계된 효율적인 디지털 심미 치료 시스템입니다.
여러 번 치과 방문 부담 없이, 하루 만에 주요 치료를 진행해 바쁜 일상 지장을 최소화합니다.
최첨단 CAD/CAM 시스템으로 정교하고 맞춤화된 비앙쉬를 제작합니다.
숙련된 의료진의 전문적인 기술로 안전하고 만족스러운 치료 결과를 지향합니다.
One day Bianche
원데이 비앙쉬
바쁜 현대인의 스케줄 속에서 치과 치료에 시간을
할애하는 것이 부담스러울 수 있습니다.
'원데이 비앙쉬'는 진단부터 비앙쉬 제작 및 부착까지
모든 과정을 하루 안에 마칠 수 있도록 설계된 효율적인
디지털 심미치료 시스템 입니다.
여러 번 치과 방문 부담 없이,하루 만에 주요 치료를
진행해 바쁜 일상 지장을 최소화 합니다.
최첨단 CAD/CAM 시스템으로 정교하고
맞춤화된 비앙쉬를 제작합니다.
숙련된 의료진의 전문적인 기술로 안전하고 만족스러운
치료 결과를 지향합니다.
체계적이고 투명한 진료로
보답하겠습니다.
01
스마일 디자인 상담
사진 및 영상분석, 모의 설계
02
정밀 진단
우식,잇몸 상태, 교합 관계를 진단
03
최소 범위 삭제 및 스캔
범위 내에서 최소한으로 삭제 후 스캔
04
임시 라미네이트 장착
임시 라미네이트로 생활해 보며
불편함이나 개선점을 확인
05
최종 라미네이트 접착
피드백을 반영한 최종 라미네이트를
정밀하게 접착하고 교합 조정
06
유지관리 안내
정기 검진 일정 안내
필요 시 나이트가드를 권장
⚠주의사항 잇몸 염증, 심한 부정교합·이갈이 시 선행 치료 또는 보호장치가 필요할 수 있습니다.
FAQ
오시는길
서울특별시 서초구 반포대로 58 서초아트자이 2층
대표전화
02-583-2807
진료시간
| 월 · 화 · 수 · 목 | 10:00 ~18:00 |
| 금요일 | 10:00 ~21:00 야간진료 |
| 토 · 일요일 | 10:00 ~ 16:00 |
오시는 길
서울특별시 서초구 반포대로 58 서초아트자이 2층
대표전화
진료시간
| 월 · 화 · 수 · 목 | 10:00 ~ 18:00 | |
| 금요일 | 10:00 ~ 21:00 야간진료 | |
| 토 · 일요일 | 10:00 ~ 16:00 |
크기에 따라 교정·보철 병합을 권할 수 있습니다.
개인 습관·관리 상태에 따라 달라 정기검진이 중요합니다.
최소 삭제 원칙이며, 모의 설계로 범위를 합의합니다.
조건 충족 시 가능합니다. 초기 진단 후 안내드립니다.